- Dec 18 Wed 2019 15:23
-
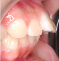
矯正治療引起的上顎唇側骨性隆凸--成因與治療
- Oct 02 Wed 2019 11:02
-
牙齒矯正和顎骨之間到底有多大的關係_明圳齒顎矯正

當牙齒的排列不齊可能會進而影響上顎或下顎的發育時,除了美觀之外,咬合、發音等等生活上再簡單不過的事都會變得困難,但這到底是如何發生以及該怎麼矯正呢?我們來看看明圳齒顎矯正專科醫師怎麼說~~
- Jul 26 Fri 2019 11:49
-
「活動式功能性矯正裝置」能夠提前預防孩童下巴過短!
- Apr 30 Tue 2019 17:45
-
兒童矯正的黃金時期?該介入的最佳時機?優缺點?
- Apr 03 Wed 2019 16:17
-
牙齒矯正-牙齒的美觀其實可以從小做起 (明圳齒顎矯正專科)
- Sep 29 Tue 2015 16:55
-
拉不動的牙:原發性無法萌出vs黏連牙
- Dec 08 Mon 2014 14:52
-
美觀,除了對稱還有比例
- Dec 08 Mon 2014 14:39
-
15期院訊頭版
- Nov 17 Mon 2014 14:48
-
矯正移牙的限制與風險

矯正移牙(Orthodontic Tooth Movement,以下稱OTM)的過程與內容包括:使用適當的矯正力於牙齒的牙冠,利用牙周韌帶(PDL)及齒槽骨(alveolar bone)內細胞的活力有效控制牙根在齒槽骨內的移動,以改善病患的咬合及牙周組織整體的健康,並達成牙齒與唇、舌、呼吸道的平衡與和諧。
- Mar 16 Sat 2013 16:06
-
拔智齒? 先等等! 做完矯正評估再決定 黃明珠醫師

口腔衛生不佳容易造成齲齒,嚴重時將進入根管治療、假牙甚至面臨牙齒拔除的命運。又或者因天生缺牙,使得無繼發齒的乳牙面臨使用年限已到,搖搖晃晃,終將也需拔除而造成缺牙的問題。若此時有智齒當備胎,用矯正的方式取代上述預後不佳的牙齒,也不失為一個可行的辦法! 本文介紹三則病例報告,善用智齒,改善齒列的整齊度及美觀性,也不需再植牙或做假牙填補原本缺牙處。
病例一
- Aug 20 Mon 2012 16:44
-
矯正裝置比一比

2012年2月19日 星期日 刊登於聯合報 記者劉惠敏 / 報導 圖片提供 / 蘇明圳醫師
牙齒矯正一定要戴「大鋼牙」?現在矯正器選擇愈來愈多元,除了常見的金屬矯正器,還有透明款;或將矯正器擺在舌側、牙齒內;甚至還有「隱形牙套」,矯正器不需黏合在牙齒上,幾乎感覺不到牙套存在。愈來愈多的選擇,對想兼顧美觀、經濟較有餘裕的熟年朋友,是個好消息。不過,不同種類的矯正器,是否影響矯正效果?該如何選擇,才能達到最大效益?
中華民國齒顎矯正學會顧問、開業牙醫蘇明圳說,不同矯正器各有優缺點,端看醫師的訓練、熟悉度,與病患的需求。蘇明圳以「上戰場」來比喻,有時須遠程
進攻,有時得運用肉搏戰,要用什麼武器,得「因時因地」,更重要的是操作武器者訓練有素,才能達成最佳狀態。



